Viêm nang lông là gì ? Nguyên nhân, chẩn đoán, điều trị, cách phòng ngừa
1. Viêm nang lông là gì ?
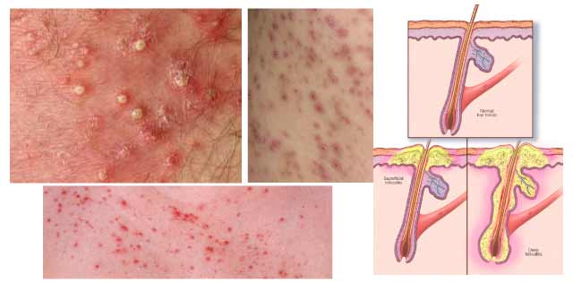
Viêm nang lông là tình trạng các chân lông bị viêm do nhiễm khuẩn hoặc nấm. Biểu hiện ban đầu là những mụn nhỏ màu đỏ hoặc mụn nhọt đầu trắng xung quanh nang lông, từ những mụn này mỗi sợi lông mọc ra. Không điều trị nhiễm trùng có thể lan rộng và biến thành vết loét, gây khó chịu. Viêm nang lông không nguy hiểm nhưng có thể gây mất thẩm mỹ và xấu hổ...
2. Triệu chứng của viêm nang lông là gì ?
- Các triệu chứng viêm nang lông phổ biến bao gồm:
- Các đám mụn nhỏ màu đỏ hoặc mụn đầu trắng phát triển xung quanh nang lông.
- Các mụn nước chứa đầy mủ vỡ ra và đóng vảy
- Da ngứa, rát.
- Có thể biểu hiện bởi một khối u hoặc khối sưng lớn.
- Viêm nang lông thường do nhiễm trùng các nang lông với vi khuẩn Staphylococcus aureus (tụ cầu). Viêm nang lông cũng có thể do virus, nấm và tình trạng viêm nhiễm do lông mọc ngược.
4. Các dạng viêm nang lông là gì ?
- Có hai dạng chính của viêm nang lông là viêm nang lông nông và viêm nang lông sâu. Loại nông liên quan đến một phần của nang, và loại sâu liên quan đến toàn bộ nang và thường nghiêm trọng hơn.
- Viêm nang lông nông bao gồm:
- Viêm nang lông do vi khuẩn: loại này phổ biến, biểu hiện bằng các vết sưng ngứa, màu trắng, chứa đầy mủ. Nguyên nhân do các nang lông bị nhiễm vi khuẩn, thường là tụ cầu Staphylococcus aureus.
- Viêm nang lông ở bồn tắm nước nóng: do vi khuẩn pseudomonas gây ra, bao gồm cả bồn tắm nước nóng và hồ bơi nước nóng. Biểu hiện là phát ban với các nốt đỏ, tròn, ngứa xuất hiện từ một đến hai ngày sau khi tiếp xúc với vi khuẩn gây bệnh.
- Viêm nang lông giả do lông mọc ngược: gặp ở người thường xuyên cạo lông, tóc quá sát, thường là ở mặt và cổ hoặc tẩy lông vùng bikini. Tình trạng này có thể để lại sẹo lồi sẫm màu.
- Viêm nang lông Pityrosporum: do nhiễm trùng nấm men, biểu hiện bằng các mụn mủ mãn tính, đỏ, ngứa ở lưng và ngực và đôi khi ở cổ, vai, cánh tay trên và mặt.
- Viêm nang lông ở cằm: xảy ra ở nam cạo râu
- Viêm nang lông do vi khuẩn gram âm: có thể gặp khi điều trị kháng sinh dài hạn cho mụn trứng cá.
- Mụn nhọt: xảy ra khi các nang lông bị nhiễm sâu bởi vi khuẩn tụ cầu. Mụn nhọt thường xuất hiện đột ngột dưới dạng một vết sưng đỏ hoặc hồng gây đau đớn.
- Viêm nang lông tăng bạch cầu ái toan: nguyên nhân chưa rõ, chủ yếu ảnh hưởng đến những người nhiễm HIV/AIDS. Các dấu hiệu và triệu chứng bao gồm ngứa dữ dội, các mảng da gà và mụn tái phát hình thành gần các nang lông ở mặt và phần trên cơ thể. Sau khi lành, vùng da bị ảnh hưởng có thể sẫm màu hơn trước.
- Chẩn đoán viêm nang lông
Chẩn đoán thông thường dựa vào bệnh sử và khám hoặc soi vùng da tổn thương.
Với những trường hợp nhiễm trùng kháng với điều trị ban đầu có thể sử dụng tăm bông để lấy mẫu da hoặc tóc bị nhiễm trùng để xét nghiệm nguyên nhân gây ra nhiễm trùng.
5. Điều trị viêm nang lông là gì ?
- Kiểm soát nhiễm trùng: kem, lotion hoặc gel kháng sinh sử dụng với trường hợp nhiễm trùng nhẹ. Thuốc kháng sinh đường uống chỉ sử dụng với trường hợp nhiễm trùng nặng hoặc tái phát.
- Chống nấm: kem, dầu gội đầu hoặc thuốc viên để chống nhiễm nấm. Thuốc chống nấm dành cho các bệnh nhiễm trùng do nấm men chứ không phải do vi khuẩn.
- Kem hoặc thuốc uống để giảm viêm: sử dụng trong viêm nang lông tăng bạch cầu ái toan.
- Tiểu phẫu: để dẫn lưu mủ khi có mụn nhọt lớn. Tiểu phẫu giúp giảm đau, tăng tốc độ phục hồi và giảm sẹo.
- Tẩy lông bằng laser: nếu các phương pháp điều trị khác không thành công, tẩy lông lâu dài bằng liệu pháp laser có thể làm sạch nhiễm trùng.
7. Phòng ngừa viêm nang lông như thế nào ?
- Tránh quần áo chật để giảm ma sát giữa da và quần áo.
- Sử dụng găng tay cao su khô: nếu bạn đeo găng tay cao su thường xuyên, sau mỗi lần sử dụng rửa sạch bằng xà phòng và nước và lau khô kỹ trước khi sử dụng.
- Tránh cạo râu thường xuyên. Khi cạo râu cần rửa sạch da bằng nước ấm và xà phòng diệt khuẩn, thoa một lượng kem dưỡng da, cạo râu theo hướng mọc của lông, tránh cạo quá sát.
- Chỉ sử dụng bồn tắm nước nóng, hồ bơi nước nóng sạch và thêm clo theo khuyến nghị.
(Bài viết được duyệt bởi Khoa Da Liễu PKĐK Hạnh Phúc.
Nguồnhttps://www.mayoclinic.org/diseaseconditions/folliculitis/diagnosis-treatment/drc-20361662)
Tác giả: Hữu Hạnh
Những tin mới hơn
Những tin cũ hơn
